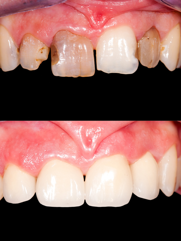
eine Krone ist dann erforderlich, wenn eine Füllung für einen Zahn zu gross wird, der Zahn aber trotzdem nicht entfernt werden muss, weil er noch genügend Substanz hat.
Die Techniken für die Kronen sind unterschiedlich und die Gestaltung richtet sich nach Ihren Wünschen.
